Cosa è lo stress
Cosa è lo stress
Lo stress è il sale della vita….solo la morte ci può liberare dallo stress (H. SELYE 1956)
Stress è probabilmente una delle parole che più ricorrono nelle nostre conversazioni. Stress è il traffico, l’incombenza da affrontare con urgenza, un’improvvisa scadenza lavorativa, la crisi adolescenziale di nostro figlio, le bollette da pagare, la morte di un congiunto, il cambio di casa con relativo trasloco, un colloquio di lavoro..... e la lista potrebbe continuare all’infinito. Va anche detto che normalmente generalizziamo, facendo un po' di confusione tra lo stress (gli effetti) e lo stressor (la causa).
Ma cosa è, in effetti, lo stress? Dobbiamo a Hans Seyle docente alla Columbia University di New York la sistematizzazione, intorno dagli anni ’40, della teoria dello stress che già Cannon pochi anni prima aveva cominciato ad approfondire. Questa teoria ancor oggi rimane valida, anche se ulteriori contributi hanno aggiunto aspetti particolari; soprattuto recentemente quelli di Poges.
Seyle, mentre conduceva un esperimento per valutare la reazione dell’organismo di topolini cui venivano iniettate sia delle sostanze inerti che un farmaco, si accorse che le reazioni dell’organismo erano le stesse, indipendentemente dalla sostanza iniettata e giunse a quella che chiamò “teoria generale di adattamento”. Vediamo sinteticamente i punti salienti delle scoperte di Seyle.
- Identifica nello “stressor” la causa. Lo stressor può evidentemente essere sia interno (uno stato d’ansia, una preoccupazione, etc.) che esterno (parcheggio, lutto, infezione, radiazione, etc.).
- Identifica nello stress la risposta dell’organismo allo stressor.
- La risposta dell’organismo non è specifica nel senso che, quale che sia l’evento, il nostro organismo reagisce sempre allo stesso modo, attivando gli stessi meccanismi cerebrali e ormonali. Infatti, secondo la definizione di Seyle, lo stress è la risposta che mettiamo in atto nel momento in cui siamo sollecitati a dare una risposta ad uno stressor.
- Non è il tipo di stressor a determinare la gravità della risposta ma il modo come lo percepiamo e lo valutiamo. In sostanza è il grado di gravità che attribuiamo alla minaccia rappresentata dallo stress. Facciamo un esempio. Lo stress provocato dall’impossibilità di trovare parcheggio sarà maggiore, evidentemente, se questo fatto m’impedisce di arrivare in orario a un importante colloquio di lavoro; oppure se devo andare a fare shopping.
- Propone quella che egli stesso ha chiamato “Sindrome Generale da Adattamento”. In sostanza tutti gli animali, uomo compreso, hanno le stesse modalità di reazione ad uno stressor.
Possiamo vedere nel racconto che segue gli elementi tipici di ogni stress.
“Siete una bellissima gazzella che nella savana lentamente sta gustando l’erba dopo la stagione secca. Improvvisamente il grido di un uccello, o un movimento tra l’erba alta attira la vostra attenzione. E poi lo vedete: un leopardo avanza furtivo dirigendosi proprio verso di voi. A questo punto smettete di mangiare, il cuore vi batte all’impazzata, vi sentite i muscoli carichi come molle, la digestione si blocca (meglio che si blocchi piuttosto che terminare nella pancia del predatore…), siete pronti per attaccare o fuggire. La mole del leopardo vi sconsiglia, però, di attaccare e decidete di fuggire. In un attimo vi rendete conto che state correndo e che continuamente cambiate direzione per non dare all’inseguitore nessun punto di riferimento.
Sentite il sangue che scorre copioso nei vostri muscoli che rispondono veloci, portandovi lontano dal predatore che, in effetti, vi rendete conto avete lasciato indietro e che vedete fermarsi stizzito.
A questo punto cominciate a sentire la stanchezza e volete solo riposarvi andando verso la grande acacia che vedete in lontananza: sembra un buon posto per riprendervi. Alla sua ombra vi sdraiate e, dopo un’ultima occhiata intorno, vi rassicurate e lentamente cadete in un sonno riparatore”.
Nonostante sia piuttosto difficile che in una giornata normale ci troviamo davanti ad un ghepardo, va rilevato che quello che avviene alla gazzella è esattamente quello che succede al nostro organismo. Ognuno di noi, ogni giorno, si trova ad affrontare “il proprio ghepardo”. A volte può essere la mancanza del parcheggio o il traffico, a volte una bronchite con febbre alta, altre volte ancora il rapporto difficile con un superiore. E ogni volta ci troveremo ad affrontare il dilemma “scappo o combatto?”
Ogni stress lascia una cicatrice indelebile e l’organismo paga la sua sopravvivenza diventando ogni volta un po’ piu’ vecchio (H. SELYE 1956)
Nella precedente sezione abbiamo visto per grandi linee cosa è lo stress e la differenza tra stress e stressor. Ora vogliamo esaminare nel dettaglio cosa succede al nostro organismo quando ci troviamo o ci sentiamo “sotto attacco del ghepardo”.
Seyle, come abbiamo visto, identifica nella sua teoria della “Sindrome Generale di Adattamento” la risposta di ogni organismo a una situazione di stress, identificando tre momenti principali: fase di allarme, fase di risposta o resistenza e fase di esaurimento/recupero.


Fase di allarme: Questa rappresenta il momento in cui percepiamo un pericolo o, più in generale, una minaccia oppure ancora una situazione che richiede un’azione importante da parte nostra. Può trattarsi del ghepardo per la gazzella come nel racconto precedente, o, più probabilmente nel nostro caso, del rischio di un incidente con la macchina, di un esame all’università, del dolore per la morte di un congiunto, del traffico, di un diverbio con un superiore etc, oppure di ... tre ghepardi allo stesso tempo.
Come si vede, nel precedente elenco abbiamo inserito una serie di situazioni molto diverse tra loro: da cose banali e apparentemente di poco conto a quelle che normalmente consideriamo vere e proprie tragedie. Questo fatto non è casuale dato che, come abbiamo visto, uno degli aspetti da considerare nello stress è la valutazione che noi stessi diamo allo stressor, quale grado di minaccia vi attribuiamo, quali conseguenze pensiamo possano derivarne: in sostanza proprio la valutazione che diamo della situazione che ci troviamo ad affrontare. E’, infatti, di osservazione comune che quello che può essere molto stressante per una persona per un’altra può non esserlo per niente: una persona può andare nel panico all’idea di parlare in pubblico mentre per un’altra può essere addirittura gratificante e piacevole.
Che evidenze scientifiche abbiamo del fatto che la valutazione personale dello stressor incide sullo stress? Come più estesamente vedremo più avanti in questa sezione, lo stress determina un accorciamento dei telomero.

Nella figura di fianco sono indicati in rosso. Lo possiamo immaginare come il cappuccio di una penna che protegge la parte finale e più sensibile e delicata dei nostri cromosomi. Con una buona “protezione” avremo minore incidenza di malattie degenerative, come il cancro e minore invecchiamento delle cellule. Anche recentemente nel 2014, in una ricerca pubblicata sull’importante rivista americana Cancer si è dimostrato che le pazienti affette da neoplasia mammaria che partecipavano ad attività basate sulle Mindfulness non presentavano un accorciamento progressivo del telomero come avveniva nel gruppo di controllo che non vi aveva partecipato. Certamente non sappiamo ancora quale effetto potrà avere nel tempo quest’osservazione in termini di sopravvivenza: è troppo presto per dirlo. Ma il dato è intrigante e sicuramente apre dei territori nuovi di esplorazione e di ricerca.
Ora, osservando il seguente diagramma, possiamo vedere come, a parità di altre condizioni, con l’aumentare dello stress percepito diminuisce la lunghezza del telomero.
Nella frase che abbiamo citato all’inizio di questa sezione, Seyle parla di “cicatrice” e lo scrive nel 1956 quando ancora poco si conosceva del DNA e ancor meno sul telomero. E la cicatrice, come abbiamo visto, è rappresentata proprio dall’accorciamento del telomero.
Questo diagramma dà anche una valenza scientifica alla Mindfulness perché dimostra che una riduzione della percezione dello stress, con essa ottenuta, ha effetti positivi sulla lunghezza del telomero. E’ evidente, infatti, in conformità a questi lavori scientifici, che imparare a percepire meno lo stress determinerà un allungamento del telomero, o almeno, una sua mancata riduzione, con tutti gli evidenti effetti protettivi come meglio e più approfonditamente si dirà in seguito.
Fase di resistenza: Questa è caratterizzata dal mantenimento della risposta. In altre parole, se l’animale ha reagito allo stressor con la fuga, continuerà a scappare. E’ evidente, però, che la durata di questa fase dipenderà dalle risorse disponibili e utilizzabili e, dunque, e che questa fase non può essere mantenuta per un tempo indefinito dato che le risorse fisiche ed energetiche, tenderanno alla fine a esaurirsi. Nel caso in cui la gazzella riesca a “liberarsi dal ghepardo” correndo, essa andrà incontro a una fase in cui sentirà il bisogno di riposarsi e recuperare tutte le energie consumate. Se, invece, con la sua corsa non sarà in grado di liberarsi del predatore finirà per fermarsi e diventare il suo pasto.
Trasportando questi concetti all’uomo, possiamo dire che anche noi abbiamo una fase di resistenza limitata nel tempo e che tutti i meccanismi che possiamo mettere in atto prima o poi tenderanno ad esaurirsi nel caso in cui lo stressor o gli stressor continuino ad agire. L’uomo, però, presenta una differenza sostanziale rispetto all’animale: i suoi stressor raramente portano alla morte direttamente, e di solito s’istaurerà una condizione cronica.
Fase dell’esaurimento/recupero: Come abbiamo detto in precedenza, la fase di resistenza sarà inevitabilmente limitata. O l’animale si libererà del cacciatore o diventerà il suo pasto. Nel caso dell’uomo, se non riesce a ridurre l’impatto dello stressor o la valutazione della sua importanza si arriverà inevitabilmente a una condizione cronica con danno a livello dei vari organi e apparati. Nell’uomo, infatti, come vedremo nella pagina sugli effetti dello stress, il perdurare dell’azione dello stressor renderà cronica la risposta legata all’azione delle varie sostanza che il nostro organismo produce in risposta allo stress
Così la risposta cardiovascolare, inizialmente fisiologica e segno della risposta dell’organismo a una situazione stressante determinerà ipertensione arteriosa e aumento della frequenza cardiaca, l’aumento della tensione muscolare, utile nelle strategie di combattimento e fuga, produrrà mal di testa tensivi, mal di schiena, l’iperattivazione del sistema nervoso tenderà a diventare cronica con un aumento dei disturbi del sonno, e sintomi psicologici come stati d’ansia.
Le persone “eternamente stressate” poi, nel tentativo far fronte allo stressor, finiscono a volte per mettere in atto delle risposte tipiche del mal adattamento: mangiano e lavorano troppo, frequentemente sono iperattive e iperreattive con ciò peggiorando la loro situazione. E’ poi più facile che cadano nel tranello dell’uso di sostanze che, apparentemente, riducono la percezione dello stress com’è il caso degli ansiolitici e degli psicofarmaci e dell’abuso di alcol ma che, col tempo, finiscono per aggravare il quadro generale. La somma di tali comportamenti, abuso di sostanze e stress, può determinare, se protratti nel tempo, altri danni psicofisici con depressione, o perdita della capacità di gestione della propria vita. Nei soggetti predisposti geneticamente sono prevedibili malattie cardiovascolari e alcuni tipi di cancro.
Solo un accenno, peraltro doveroso, alla società in cui viviamo. Senza voler entrare in una critica sociologica, il tipo di vita che conduciamo è evidentemente stressante: siamo eternamente connessi, basterebbe citare il dato di una recente ricerca che ha mostrato come il 60 % delle persone guarda le proprie mail lavorative mentre è in vacanza, lavorativamente parlando siamo immersi in una società molto competitiva in cui non sempre è facile trovare degli spazi personali “gratuiti”, in cui facciamo le cose per il semplice gusto di farle.
Tornando per un attimo al grafico della risposta che abbiamo visto all’inizio, esiste la possibilità, indicata con una linea rossa, di ritornare a una condizione di normalità prima di arrivare a un totale esaurimento delle risorse psicofisiche.

Ci sono persone, infatti, dotati della capacità di interrompere il circolo vizioso che inevitabilmente porta ad uno stress cronico. Sono quelle che per educazione o formazione non si fanno “travolgere dalle situazioni” riuscendo sempre a porre una certa distanza anche psicologica tra lo stressor e se stessi. Sono quelle che, capaci di “leggersi” e di interrogarsi, sono in grado sapere quando è il momento in cui staccare, in cui dedicare del tempo al proprio hobby, in cui trovare delle nuove motivazioni.
Quest’ultimo aspetto ci introduce all’analisi, necessariamente sintetica, delle variabili che modulano la nostra risposta allo stressor. Oltre al carattere e personalità del soggetto sottoposto ad uno stressor va considerata anche:
- Intensità dello stressor: Per intensità dello stimolo intendiamo soprattutto, come abbiamo visto, la valutazione soggettiva dello stressor.
- Durata d’azione dello stressor: Anche la durata rappresenta un aspetto non trascurabile. E’ evidente che se, sul luogo di lavoro, lo scontro con un mio superiore avviene tutti i giorni, ha un impatto diverso se avviene saltuariamente.
Cervello e stress
Può essere interessante dare uno sguardo "panoramico" al funzionamento del nostro cervello per capire le modalità della nostra risposta alla stress.
Possiamo immaginare il nostro cervello come una cipolla, con strati sovrapposti uno sopra l’altro. E’ il risultato dell’evoluzione a cui siamo andati incontro con una progressiva sovrapposizione di strutture cerebrali che abbiamo via via ereditato dai nostri progenitori nel corso dei milioni di anni. Semplificando, abbiamo un cervello dei rettili, uno in comune con altri mammiferi (paleo mammaliano o limbico) ed uno definito neo mammaliano, sede delle funzioni più elevate. Tale organizzazione comporta anche la necessità d’integrazione, in un certo senso esse devono comunicare tra di loro. La cosa interessante è che essi “… devono fondersi e funzionare tutti e tre insieme come un cervello uno e trino. La cosa straordinaria è come la natura sia stata capace di collegarli fra loro e di stabilire una qualche sorta di comunicazione dall’uno all’altro.” (MacLean 1973). In pratica alcune funzioni del nostro cervello sono autonome, vedi il caso del senso di fame, altre viceversa necessitano del'azione e dell'integrazione di tutti e tre, come in alcuni comportamenti superiori. È confermata anche una cera gerarchia nel senso che, almeno in linea generale, le prime strutture a funzionare sono quelle di più recente acquisizione nelle storia dell'evoluzione e successivamente, in caso di insuccesso, quelle più antiche. Fa forse eccezione l'amigdala che, in quanto salva-vita, funziona per prima pur essendo piu antica. Questa ipotesi di organizzazione, sebbene profondamente modificata e integrata da successive ricerche di neurologia, rimane sostanzialmente valida. e può spiegarci come lo stress, e la minaccia di cui spesso è il risultato, impatta sulla nostra vita.
Fatta questa precisazione, vediamoli in dettaglio.
“Cervello rettiliano”
Nella parte più antica e profonda troviamo le stesse strutture dei pesci, dei serpenti, e degli altri rettili come le lucertole. E’ il cosiddetto cervello rettiliano deputato alla gestione di comportamenti stabiliti geneticamente. Rientrano in questa categoria importanti fenomeni come la sopravvivenza, la respirazione, il sonno, la frequenza cardiaca e la riproduzione. A questi possiamo aggiungere alcuni iniziali aspetti sociali come la territorialità, la dominanza, e comportamenti rituali. Sono strutture cerebrali che potremmo definire, “autocentrate”, nel senso che guardano solo ai propri interessi basici. Queste aree utilizzano i contrasti come “con/senza”, “prima/dopo” etc, considera solo quanto è familiare, e basa il suo funzionamento sulle informazioni visive che sono processate senza l’intervento di strutture cerebrali “superiori”. E’ interessante notare che i messaggi pubblicitari hanno come obiettivo quello di andare a influenzare proprio questa parte del cervello, tanto che esiste un’area di studio definita “neuromarketing” e che cerca di utilizzare studi sul cervello rettiliano per mettere in campo campagne pubblicitarie sempre più efficaci. Si ricordi, infatti, che oltre 85% delle nostre decisioni di acquisto sono inconsce e trovano il loro “perché” in quest’area.
Cervello paleo mammaliano o limbico”
Sopra il sistema rettiliano troviamo il cervello cosiddetto paleo mammario che fornisce, agli animali che ne sono forniti, strumenti migliori e più efficaci per interagire con l’ambiente e con i propri simili. Noi abbiamo in comune con tutti mammiferi questo tipo di cervello. A quest’area sono deputate funzioni come le emozioni (ad esempio la paura e la rabbia) e l’integrazione delle funzioni del cervello rettiliano. Ad esempio, i comportamenti sessuali e riproduttivi, tipici del cervello rettiliano, sono modulati attraverso la motivazione e gli aspetti emotivi gestiti da queste aree cerebrali. Dobbiamo a quest’area cerebrale, ad esempio, i comportamenti di cura della prole. Inoltre, nel cervello limbico sono situate alcune strutture molto importanti per la percezione e la gestione dello stress di cui si parlerà più avanti.
“Cervello neo mammaliano”
Alle strutture che lo compongono, sono deputate le funzioni superiori come il ragionamento, la capacità di prevedere gli effetti dei nostri comportamenti, il fare programmi, la consapevolezza del sé, il linguaggio, etc. A questo livello troviamo in particolare la corteccia prefrontale. Quest’area non ha una funzione particolare, come la corteccia visiva, che permette la visione, o la corteccia motoria che sovrintende ai movimenti volontari. Essa è piuttosto un’area di associazione che collega diversi circuiti cerebrali permettendo un’armonizzazione delle varie funzioni.
Questa illustrazione è ovviamente generica. Infatti, le cose si complicano quando aggiungiamo a questa visione d’insieme il fatto di avere due emisferi cerebrali con funzioni diverse, e che molte capacità che il nostro cervello possiede richiedono l’attivazione contemporanea di aree cerebrali diverse. Basterebbe, a questo proposito, citare la memoria che non ha una sede specifica dato che abbiamo tanti diversi tipi di memoria. Questa descrizione è, però, sufficiente per capire le basi anatomiche dello stress.
Dopo questa visione d’insieme, vorrei affrontare da vicino tre strutture cerebrali interessanti per il nostro argomento: amigdala, appartenente al cervello paleo-mammaliano, e la corteccia prefrontale del cervello neo-mammaliano, a cui va aggiunta la corteccia anteriore del cingolo. Certamente ci sono altre strutture cerebrali coinvolte nello stress, tanto che si parla di “Sinfonia dello stress”, ma queste tre sono le più importanti. Vediamoli brevemente.
L’Amigdala
E’ la parte del cervello, evidenziata in rosso, che verifica la presenza di una minaccia, scandagliando continuamente, attraverso i sensi, l’ambiente in cui ci troviamo. E’ interessante notare che, anche se non ce ne accorgiamo, la risposta di quest’area avviene prima ancora di avere la percezione sensoriale. E’ dimostrato, ad esempio, che i non vedenti, per un danno della corteccia visiva, provano paura se mettiamo davanti ai loro occhi l’immagine di un serpente, pur non "vedendola". Ciò indica che l’A. reagisce allo stimolo visivo anche in assenza della percezione cosciente dello stesso. Non solo, ma l’A è anche attiva nel sistema di comparazione degli stimoli ricevuti con le esperienze precedenti: è la sede di quella che è stata definita “memoria emotiva”.
Immaginiamo, ora, di vedere un camion che ci sta per travolgere. Visto il pericolo, l’amigdala invia un “segnale di allarme” a tutte le strutture cerebrali attivandole e determinando la sensazione di paura. E’ interessante notare che l’attivazione di tutte le strutture cerebrali è assoluta, con il blocco totale delle strutture non indispensabili alla risposta fuga /combattimento. In sostanza, se sto ragionando tra me e me su un concetto filosofico oppure che fiori mandare alla mia fidanzata, tale ragionamento verrà completamente “soffocato”. Vengono "spente" tutte le aree e funzioni non indispensabili alla risposta che l'organismo deve mettere in atto come risposta alla minaccia rappresentata dal camion. E’ quello che Goleman ha definito “dirottamento funzionale”.
Contemporaneamente viene attivata, attraverso l’ipotalamo, l’ipofisi che produce ACTH che a sua volta stimola le ghiandole surrenali a produrre Adrenalina, Noradrenalina, e Cortisolo, mediatori chimici della risposta fuga/combattimento. Queste sostanze determinano, da sole o insieme ad altri meccanismi, una serie di azioni che sono funzionali a un eventuale combattimento o fuga, che, di fatto, l’A mette poi in azione.
Se vogliamo, si tratta certamente di una risposta utile in quanto “salvavita”: ci attiviamo per evitare un pericolo o ridurre le conseguenze di una situazione. Davanti ad un camion che ci sta per investire, non ha molto senso cercare di capire la marca e modello del camion, la sua velocità o il suo colore. Questo modo rapido di reagire, tuttavia, è anche grossolano, retaggio, probabilmente, del funzionamento del cervello dei nostri progenitori che dovevano confrontarsi continuamente con un ambiente ostile e pieno di pericoli. In sintesi queste le funzioni dell’A.
- Gestisce le emozioni "decidendo" che risposta dare ad esse
- Archivio della memoria emozionale confrontando l'emozione attuale con le esperienze passate
- "Grilletto neuronale” determinando sia la risposta ormonale che la risposta attiva : combattimento o fuga
- Hijaking: Dirottamento funzionale.
Corteccia prefrontale
La corteccia prefrontale, nella figura accanto indicata in rosso, rappresenta la sede della parte più "nobile" ed complesso del comportamento umano. A differenza di altre aree cerebrali che hanno una funzione propria, come quella motoria che presiede ai movimenti volontari, la CPF ha funzioni esclusivamente di tipo associativo tra aree cerebrali diverse. Queste le principali azioni della corteccia prefrontale (CPF):
Regola la risposta della Amigdala. Detto in estrema sintesi, nel momento in cui riceve informazioni dall’Amigdala su un possibile pericolo, la CPF si attiva sottoponendo a verifica quanto sta accadendo. In sostanza modula la risposta che l’A ha messo in atto eventualmente riducendone la portata e l’importanza. Esiste dunque un bilanciamento tra Amigdala e CPF. La CPF, infatti, modula la paura. Evidentemente se l’amigdala sarà eccessivamente attivata o il prefrontale avrà, per qualsiasi ragione, una minore capacità di freno assisteremo ad una condizione cronica di attivazione dei sistemi cui abbiamo precedentemente accennato. - Sede dell'equilibrio emotivo. Proprio per le ragioni esposte prima, permette di mantenere in equilibrio il nostro panorama emotivo
- Modula la flessibilità della risposta in quanto ci induce a scegliere la risposta più adeguata in relazione alla minaccia percepita. In questo senso permette di rispondere o di reagire con un ventaglio esteso di comportamenti.
- Sede dell'empatia e della comunicazione sincronizzata. Proprio per la sua capacità di "leggere" l'ambiente e le azioni degli altri permette di avere una comunicazione empatica.
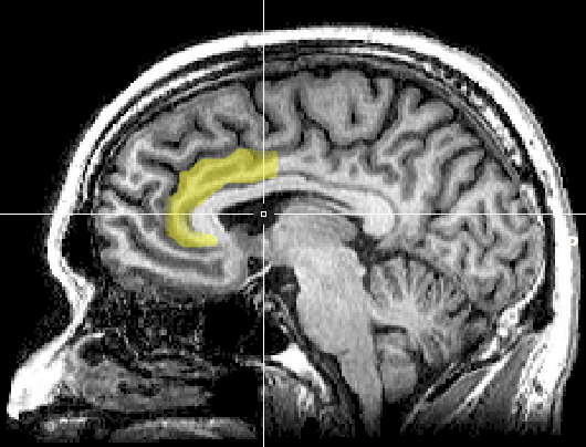
Corteccia Anteriore del Cingolo
La Corteccia Anteriore del Cingolo (CAC), indicato in giallo nella figura al lato, svolge diverse azioni tra cui la capacità di rilevare i conflitti, non solo emotivi, con la relativa percezione dell'errore nello svolgimento di un compito riguarda la gestione dello stress la CAC è coinvolta nella:
Tristezza. La CAC è implicata nella gestione della tristezza, nel senso che, ad esempio, il ricordo di un evento causa di tristezza determina l'attivazione di questa area cerebrale. Così come si è evidenziato che nei depressi è presente una alterata attività della CAC
- Regolazione delle emozioni. Oltre a intervenire nella regolazione delle emozioni la CAC modifica i nostri comportamenti quando questi determinano emozioni negative.
- Ansia. Nei disturbi d'ansia si osserva una minore attività della CAC.
- Correlazione tra ansia e dolore cronico. Sappiamo che esiste una tale correlazione nel senso che questi due situazioni si alimentano vicendevolmente: elevati livelli di ansia determinano una maggiore percezione del dolore e viceversa.
In questo quadro s’inserisce la Mindfulness. E’ sufficiente dire, per il momento, che le pratiche di consapevolezza riducono la funzionalità dell’amigdala potenziando quella della corteccia prefrontale. In un’altra sezione, Mindfulness perché funziona, troverete una descrizione di come concretamente funziona la M e come essa riesca a ridurre gli effetti negativi dello stress.